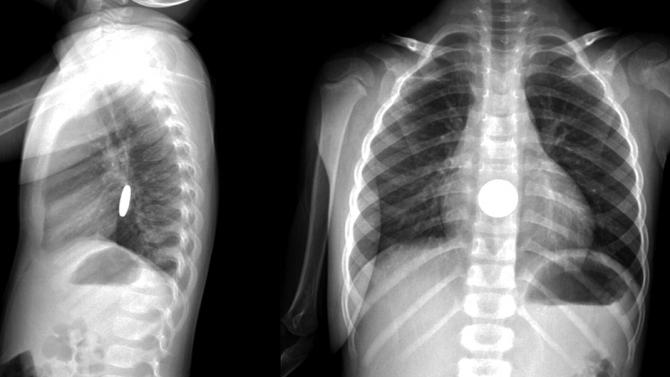
В Луганской области (село Воеводовка Троицкого района) умер маленький ребенок, который проглотил литиевые батарейки. В смерти своей маленькой дочери родители винят медиков, которые не смогли поставить правильный диагноз.

Бабушка говорит, за неделю до смерти внучки - привезла ее в больницу с жалобами на боль в животе. Врач поставила диагноз: «высокий ацетон». Поэтому просто снижали его уровень.
На следующий день - дома - ребенок сознание, у нее началось кровотечение. Девочку увезли в больницу.
Однако в приемном отделении ни одного врача не было. Когда, наконец, врач появился, ребенок уже был мертв.
Семья девочки уверяет: ребенок проглотил батарейку неделю назад.
Медики утверждают, что батарейку, девочка проглотила уже после выписки. По факту смерти ребенка прокуратура открыла уголовное производство по статье убийство.
Однако не исключают, что дело переквалифицируют в служебной халатности и предъявят обвинения врачам.
Родители девочки добиваться, чтобы медиков наказали. Теперь же врач, который занимался девочкой, срочно ушла в отпуск.
«Трибун»







